工作原理About

    ◆ 很久以前,人们就发现,当口吃者跟随着另外一个人,同时朗诵或说出同一段话时,他的发音方式马上会发生改变,这种现象,被称为“同声说话”(也被翻译成“合声效应”)。


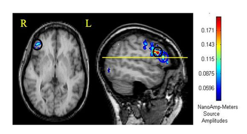
    ◆ 美国东卡罗来纳大学沟通科学与障碍系口吃研究小组中的三位成员Joseph Kalinowski, Ph.D., Andrew Stuart, Ph.D.,and Michael Rastatter, Ph.D历经数十年研究发现,口吃者在口吃时,脑波反应图与正常人脑波图有着明显的区别,言语时应该活跃的大脑左侧(言语语言中枢)变得不活跃,而应该静止的大脑右侧区域则变得活跃起来。


    ◆ 当口吃者佩戴延迟听觉反馈(DAF)/ 移频听觉反馈(FAF)设备后,其脑波反应图中的颜色几乎与正常人的均匀的兰色脑波图一致,难以区分,说明短促的数字延迟听觉反馈(DAF)/ 移频听觉反馈(FAF)可影响大脑的左、右半球的交流状态,有利于改变发音方式进行语言训练。

    为什么选择畅博士科学矫正 帮助更多口吃者流利表达

    Copyright © 佛山亦先电子科技有限公司     地址:佛山市南海区机场路华南医博城2栋406     电话:400-801-7271
    ICP备案编号:粤ICP备2024225945号